Eukaryotic Translation Initiation Factor 4E-Binding Protein 1 (4EBP1) Antibody

REQUEST MORE INFO
Catalogue No: abx015717
Price: US$427.75
(Size: 100 µl)

Orders to United States ship from United States

Eukaryotic Translation Initiation Factor 4E-Binding Protein 1 (4EBP1) Antibody Eukaryotic Translation Initiation Factor 4E-Binding Protein 1 (4EBP1) Antibody

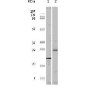
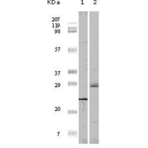
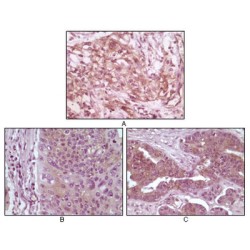
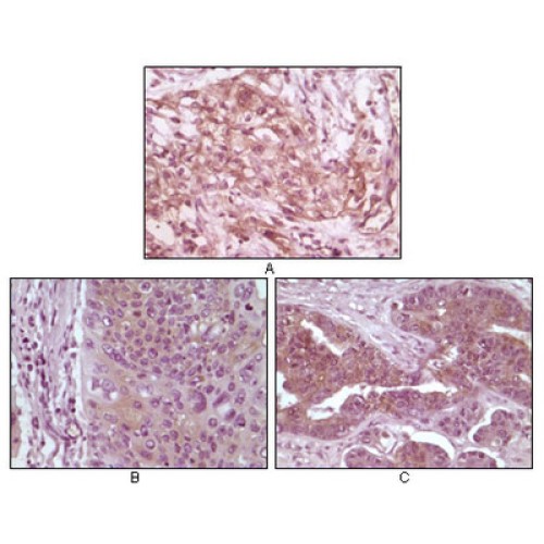
Click on the image to see the image legend

Available Options

* Size:

Add to Shopping Cart Buy It Now GET A QUOTE

Documents

Datasheet SDS
4E-BP1 (eukaryotic translation Initiation Factor 4E Binding Protein 1),also called ELF4EBP1/BP-1/PHAS-I,which is located on chromosome 8p12, with 118-amino acid protein (about 13kDa).Binding of eIF4EBP1 to eIF4E is reversible and is dependent on the phosphorylation status of eIF4EBP1.Non phosphorylated eIF4EBP1 will bind strongly to eIF4E while (24kDa), the phosphorylated form will not.Akt, TOR, MAP kinase, S6 kinase, and Cdc2 are known kinases capable of inactivating eIF4EBP1 binding to eIF4E by phosphorylating either threonines 35, 45, 69 or serine 64.Although, not all phosphorylation events equally block the eIF4EBP1-eIF4E interaction.

Target Eukaryotic Translation Initiation Factor 4E-Binding Protein 1 (4EBP1)
Clonality Monoclonal
Reactivity Human
Tested Applications ELISA, IHC
Host Mouse
Recommended dilutions ELISA: 1/10000, IHC: 1/200 - 1/1000. Optimal dilutions/concentrations should be determined by the end user.
Conjugation Unconjugated
Immunogen Purified recombinant fragment of 4E-BP1 expressed in E. coli.
Isotype IgG1
Form Liquid
Purification Unpurified ascites.
Storage Aliquot and store at -20°C. Avoid repeated freeze/thaw cycles.
UniProt Primary AC Q13541 (UniProt, ExPASy)
UniProt Secondary AC B2R502, D3DSW8, Q6IBN3
UniProt Entry Name 4EBP1_HUMAN
Gene Symbol EIF4EBP1
GeneID 1978
OMIM 602223
HGNC 3288
KEGG hsa:1978
Ensembl ENSG00000187840
String 9606.ENSP00000340691
Buffer Ascitic fluid containing 0.03% sodium azide.
Concentration Not determined.
Availability Shipped within 5-10 working days.
Note THIS PRODUCT IS FOR RESEARCH USE ONLY. NOT FOR USE IN DIAGNOSTIC, THERAPEUTIC OR COSMETIC PROCEDURES. NOT FOR HUMAN OR ANIMAL CONSUMPTION.
Research Articles on Eukaryotic Translation Initiation Factor 4E-Binding Protein 1 (4EBP1)


Write a review

Tags:
(Click to show)