Angiopoietin-Related Protein 5 (ANGPTL5) Antibody

REQUEST MORE INFO
Catalogue No: abx129060
Price: US$333.50
(Size: 100 µl)

Orders to United States ship from United States

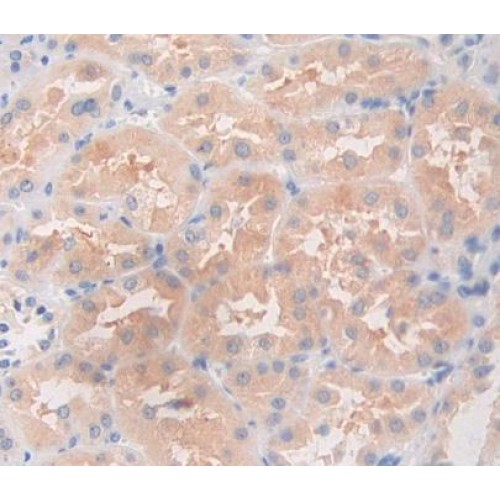
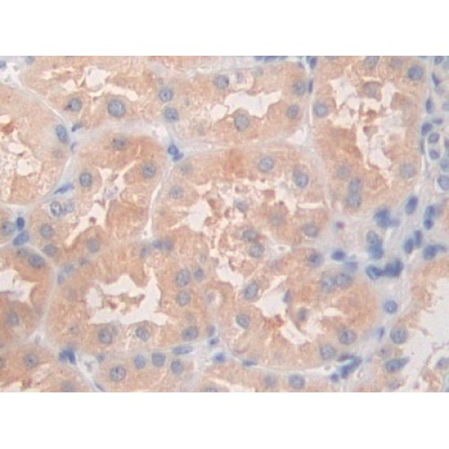
Angiopoietin-Related Protein 5 (ANGPTL5) Antibody Angiopoietin-Related Protein 5 (ANGPTL5) Antibody Angiopoietin-Related Protein 5 (ANGPTL5) Antibody

Click on the image to see the image legend

Available Options

* Size:



Add to Shopping Cart Buy It Now GET A QUOTE

Documents

Datasheet SDS
Angiopoietin-Related Protein 5 Antibody is a Rabbit Polyclonal against Angiopoietin-Related Protein 5.

Target Angiopoietin-Related Protein 5 (ANGPTL5)
Clonality Polyclonal
Reactivity Human
Tested Applications WB, IHC, IF/ICC
Host Rabbit
Recommended dilutions WB: 0.01-2 µg/ml, IHC: 5-20 µg/ml, IF/ICC: 5-20 µg/ml. Optimal dilutions/concentrations should be determined by the end user.
Conjugation Unconjugated
Immunogen ANGPTL5 (Arg141-Tyr383)
Form Liquid
Purification Purified by antigen-specific affinity chromatography, followed by Protein A affinity chromatography.
Storage Aliquot and store at -20°C. Avoid repeated freeze/thaw cycles.
Buffer 0.01 M PBS, pH 7.4, containing 0.05% Proclin-300, 50% glycerol.
Availability Shipped within 5-7 working days.
Note THIS PRODUCT IS FOR RESEARCH USE ONLY. NOT FOR USE IN DIAGNOSTIC, THERAPEUTIC OR COSMETIC PROCEDURES. NOT FOR HUMAN OR ANIMAL CONSUMPTION.
Research Articles on Angiopoietin-Related Protein 5 (ANGPTL5)


Write a review