BCL2 (pT56) Antibody

REQUEST MORE INFO
Catalogue No: abx000364
Price: US$232.00
(Size: 20 µl)

Orders to United States ship from United States

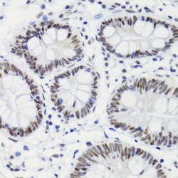
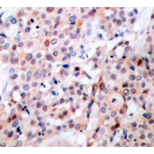
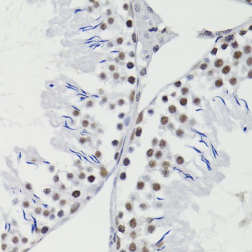
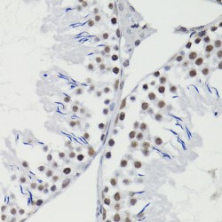
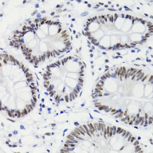
BCL2 (pT56) Antibody BCL2 (pT56) Antibody BCL2 (pT56) Antibody BCL2 (pT56) Antibody

Click on the image to see the image legend

Available Options

* Size:



Add to Shopping Cart Buy It Now GET A QUOTE

Documents

Datasheet SDS
BCL2 (pT56) Antibody is a Rabbit Polyclonal antibody against BCL2 (pT56). This gene encodes an integral outer mitochondrial membrane protein that blocks the apoptotic death of some cells such as lymphocytes. Constitutive expression of BCL2, such as in the case of translocation of BCL2 to Ig heavy chain locus, is thought to be the cause of follicular lymphoma. Two transcript variants, produced by alternate splicing, differ in their C-terminal ends.

Target BCL2 (pT56)
Clonality Polyclonal
Reactivity Human, Mouse, Rat
Tested Applications ELISA, WB, IHC
Host Rabbit
Recommended dilutions ELISA: 1 µg/ml, WB: 1/500 - 1/2000, IHC-P: 1/50 - 1/100. Not tested in IHC-F. Optimal dilutions/concentrations should be determined by the end user.
Conjugation Unconjugated
Immunogen A synthetic phosphorylated peptide around T56 of human Bcl-2.
Isotype IgG
Form Liquid
Purification Purified by affinity chromatography.
Storage Aliquot and store at -20°C. Avoid repeated freeze/thaw cycles.
UniProt Primary AC P10415 (UniProt, ExPASy)
UniProt Secondary AC C9JHD5, P10416, Q13842, Q16197
UniProt Entry Name BCL2_HUMAN
Gene Symbol BCL2
GeneID 596
NCBI Accession NP_000624.2
KEGG hsa:596
String 9606.ENSP00000381185
Molecular Weight Calculated MW: 26 kDa
Buffer PBS, pH 7.3, containing 0.01% thimerosal, 50% glycerol.
Concentration 1.94 mg/ml
Availability Shipped within 5-10 working days.
Note THIS PRODUCT IS FOR RESEARCH USE ONLY. NOT FOR USE IN DIAGNOSTIC, THERAPEUTIC OR COSMETIC PROCEDURES. NOT FOR HUMAN OR ANIMAL CONSUMPTION.
Research Articles on BCL2 (pT56)


Write a review

Tags:
(Click to show)