Ferredoxin-Fold Anticodon Binding Domain Containing 1 (FDXACB1) Antibody

REQUEST MORE INFO
Catalogue No: abx233067
Price: US$406.00
(Size: 100 µg)

Orders to United States ship from United States

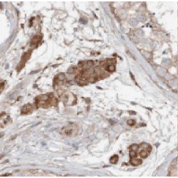
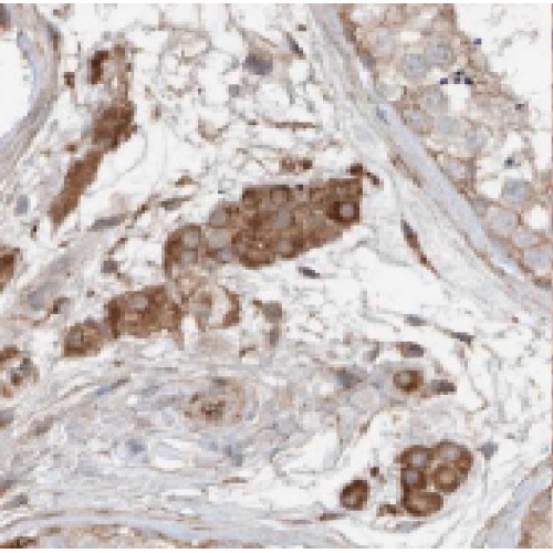
Ferredoxin-Fold Anticodon Binding Domain Containing 1 (FDXACB1) Antibody Ferredoxin-Fold Anticodon Binding Domain Containing 1 (FDXACB1) Antibody

Click on the image to see the image legend

Available Options

* Size:

Add to Shopping Cart Buy It Now GET A QUOTE

Documents

Datasheet SDS
FDXACB1 Antibody is a Rabbit Polyclonal against FDXACB1.

Target Ferredoxin-Fold Anticodon Binding Domain Containing 1 (FDXACB1)
Clonality Polyclonal
Reactivity Human
Tested Applications ELISA, WB, IHC
Host Rabbit
Recommended dilutions WB: 1/500 - 1/2000, IHC: 1/20 - 1/200. Optimal dilutions/concentrations should be determined by the end user.
Conjugation Unconjugated
Immunogen ferredoxin-fold anticodon binding domain containing 1
Isotype IgG
Form Liquid
Purity ≥ 95% (SDS-PAGE)
Purification Purified by immunogen affinity chromatography.
Storage Aliquot and store at -20°C. Avoid repeated freeze/thaw cycles.
Validity 12 months.
UniProt Primary AC Q9BRP7 (UniProt, ExPASy)
UniProt Secondary AC A0PJW7, B4DUU2
UniProt Entry Name FDXA1_HUMAN
Gene Symbol FDXACB1
GeneID 91893
HGNC 25110
Ensembl ENSG00000255561
String 9606.ENSP00000260257
Molecular Weight Observed MW: 65-70 kDa
Buffer PBS, pH 7.3, with 0.02% sodium azide and 50% glycerol.
Concentration 2 mg/ml
Availability Shipped within 5-12 working days.
Note THIS PRODUCT IS FOR RESEARCH USE ONLY. NOT FOR USE IN DIAGNOSTIC, THERAPEUTIC OR COSMETIC PROCEDURES. NOT FOR HUMAN OR ANIMAL CONSUMPTION.
Research Articles on Ferredoxin-Fold Anticodon Binding Domain Containing 1 (FDXACB1)


Write a review