+44 (0) 1223 755950             
                              +1 832 327 7413            
                    Orders to United States ship from United States
 (0 Publications and Reviews)
(0 Publications and Reviews)   
                  
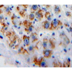
                | Target | Glycoprotein 5 (GP5) | 
| Clonality | Polyclonal | 
| Reactivity | Mouse | 
| Tested Applications | WB, IHC, IF/ICC | 
| Host | Rabbit | 
| Recommended dilutions | WB: 0.01-2 µg/ml, IHC: 5-20 µg/ml, IF/ICC: 5-20 µg/ml. Optimal dilutions/concentrations should be determined by the end user. | 
| Conjugation | Unconjugated | 
| Immunogen | GP5 (Ser246-Glu485) | 
| Form | Liquid | 
| Purification | Purified by antigen-specific affinity chromatography, followed by Protein A affinity chromatography. | 
| Storage | Aliquot and store at -20°C. Avoid repeated freeze/thaw cycles. | 
| Buffer | 0.01 M PBS, pH 7.4, containing 0.05% Proclin-300, 50% glycerol. | 
| Availability | Shipped within 5-7 working days. | 
| Note | THIS PRODUCT IS FOR RESEARCH USE ONLY. NOT FOR USE IN DIAGNOSTIC, THERAPEUTIC OR COSMETIC PROCEDURES. NOT FOR HUMAN OR ANIMAL CONSUMPTION. |