Phosphoenolpyruvate Carboxykinase, Cytosolic (PCK1) Antibody

REQUEST MORE INFO
Catalogue No: abx104344
Price: US$290.00
(Size: 100 µl)

Orders to United States ship from United States

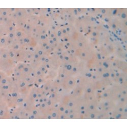
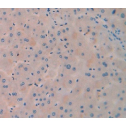
Phosphoenolpyruvate Carboxykinase, Cytosolic (PCK1) Antibody Phosphoenolpyruvate Carboxykinase, Cytosolic (PCK1) Antibody

Click on the image to see the image legend

Available Options

* Size:



Add to Shopping Cart Buy It Now GET A QUOTE

Documents

Datasheet SDS
Polyclonal Antibody to Phosphoenolpyruvate Carboxykinase 1, Soluble (PCK1).

Target Phosphoenolpyruvate Carboxykinase, Cytosolic (PCK1)
Research Area Enzymes and Kinases, Metabolic Pathways, Endocrinology
Clonality Polyclonal
Reactivity Human
Tested Applications WB
Host Rabbit
Recommended dilutions WB: 0.01-2 µg/ml. Optimal dilutions/concentrations should be determined by the end user.
Conjugation Unconjugated
Immunogen abx068511 - Recombinant Human PCK1 (Asp311-Ile559) expressed in E. coli
Form Liquid
Purification Purified by antigen-specific affinity chromatography, followed by Protein A affinity chromatography.
Storage Aliquot and store at -20°C. Avoid repeated freeze/thaw cycles.
UniProt Primary AC P35558 (UniProt, ExPASy)
UniProt Secondary AC A8K437, B4DT64, Q8TCA3, Q9UJD2
UniProt Entry Name PCKGC_HUMAN
KEGG hsa:5105
String 9606.ENSP00000319814
Buffer PBS, pH7.4, containing 0.02% NaN3, 50% glycerol.
Availability Shipped within 5-7 working days.
Note THIS PRODUCT IS FOR RESEARCH USE ONLY. NOT FOR USE IN DIAGNOSTIC, THERAPEUTIC OR COSMETIC PROCEDURES. NOT FOR HUMAN OR ANIMAL CONSUMPTION.
Research Articles on Phosphoenolpyruvate Carboxykinase, Cytosolic (PCK1)


Write a review