Proteasome Subunit Beta Type 5 (PSMB5) Antibody

REQUEST MORE INFO
Catalogue No: abx236874
Price: US$406.00
(Size: 100 µg)

Orders to United States ship from United States

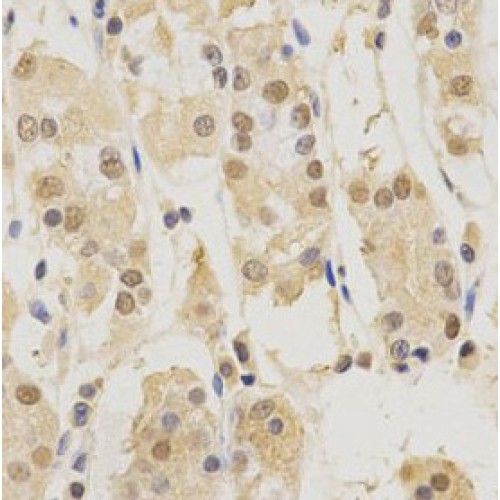
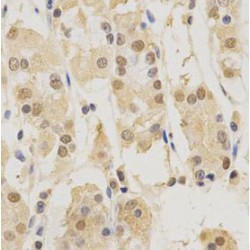
Proteasome Subunit Beta Type 5 (PSMB5) Antibody Proteasome Subunit Beta Type 5 (PSMB5) Antibody

Click on the image to see the image legend

Available Options

* Size:

Add to Shopping Cart Buy It Now GET A QUOTE

Documents

Datasheet SDS
PSMB5 Antibody is a Rabbit Polyclonal against PSMB5.

Target Proteasome Subunit Beta Type 5 (PSMB5)
Clonality Polyclonal
Reactivity Human, Mouse
Tested Applications ELISA, WB, IHC, IF/ICC
Host Rabbit
Recommended dilutions WB: 1/500 - 1/2000, IHC: 1/50 - 1/200, IF/ICC: 1/50 - 1/200. Optimal dilutions/concentrations should be determined by the end user.
Conjugation Unconjugated
Immunogen proteasome (prosome, macropain) subunit, beta type, 5
Isotype IgG
Form Liquid
Purity ≥ 95% (SDS-PAGE)
Purification Purified by immunogen affinity chromatography.
Storage Aliquot and store at -20°C. Avoid repeated freeze/thaw cycles.
Validity 12 months.
UniProt Primary AC P28074 (UniProt, ExPASy)
UniProt Entry Name PSB5_HUMAN
KEGG hsa:5693
String 9606.ENSP00000355325
Molecular Weight Observed MW: 21 kDa
Buffer PBS, pH 7.3, with 0.02% sodium azide and 50% glycerol.
Concentration 2 mg/ml
Availability Shipped within 5-12 working days.
Note THIS PRODUCT IS FOR RESEARCH USE ONLY. NOT FOR USE IN DIAGNOSTIC, THERAPEUTIC OR COSMETIC PROCEDURES. NOT FOR HUMAN OR ANIMAL CONSUMPTION.
Research Articles on Proteasome Subunit Beta Type 5 (PSMB5)


Write a review

Tags:
(Click to show)