Ras Related GTP Binding B (RRAGB) Antibody

REQUEST MORE INFO
Catalogue No: abx237488
Price: US$406.00
(Size: 100 µg)

Orders to United States ship from United States

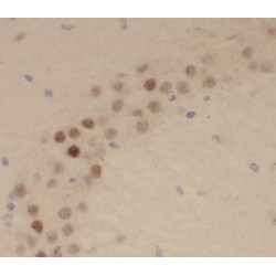
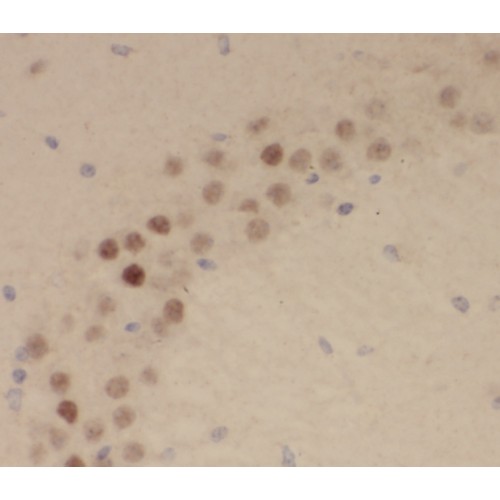
Ras Related GTP Binding B (RRAGB) Antibody Ras Related GTP Binding B (RRAGB) Antibody

Click on the image to see the image legend

Available Options

* Size:

Add to Shopping Cart Buy It Now GET A QUOTE

Documents

Datasheet SDS
RRAGB Antibody is a Rabbit Polyclonal against RRAGB.

Target Ras Related GTP Binding B (RRAGB)
Clonality Polyclonal
Reactivity Human, Mouse, Rat
Tested Applications ELISA, WB, IHC
Host Rabbit
Recommended dilutions WB: 1/500 - 1/2000, IHC: 1/20 - 1/200. Optimal dilutions/concentrations should be determined by the end user.
Conjugation Unconjugated
Immunogen Ras-related GTP binding B
Isotype IgG
Form Liquid
Purity ≥ 95% (SDS-PAGE)
Purification Purified by immunogen affinity chromatography.
Storage Aliquot and store at -20°C. Avoid repeated freeze/thaw cycles.
Validity 12 months.
UniProt Primary AC Q5VZM2 (UniProt, ExPASy)
UniProt Secondary AC A8K042, Q15348, Q8N3T0
UniProt Entry Name RRAGB_HUMAN
Gene Symbol RRAGB
GeneID 10325
OMIM 300725
HGNC 19901
KEGG hsa:10325
Ensembl ENSG00000083750
String 9606.ENSP00000262850
Molecular Weight Observed MW: 40 kDa
Buffer PBS, pH 7.3, with 0.02% sodium azide and 50% glycerol.
Concentration 2 mg/ml
Availability Shipped within 5-12 working days.
Note THIS PRODUCT IS FOR RESEARCH USE ONLY. NOT FOR USE IN DIAGNOSTIC, THERAPEUTIC OR COSMETIC PROCEDURES. NOT FOR HUMAN OR ANIMAL CONSUMPTION.
Research Articles on Ras Related GTP Binding B (RRAGB)


Write a review