Ribonucleoside-Diphosphate Reductase Large Subunit (RRM1) Antibody

REQUEST MORE INFO
Catalogue No: abx237492
Price: US$406.00
(Size: 100 µg)

Orders to United States ship from United States

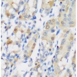
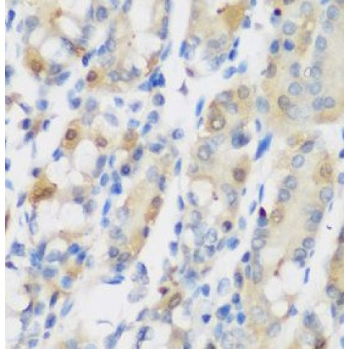
Ribonucleoside-Diphosphate Reductase Large Subunit (RRM1) Antibody Ribonucleoside-Diphosphate Reductase Large Subunit (RRM1) Antibody

Click on the image to see the image legend

Available Options

* Size:

Add to Shopping Cart Buy It Now GET A QUOTE

Documents

Datasheet SDS
RRM1 Antibody is a Rabbit Polyclonal against RRM1.

Target Ribonucleoside-Diphosphate Reductase Large Subunit (RRM1)
Clonality Polyclonal
Reactivity Human, Mouse
Tested Applications ELISA, WB, IHC
Host Rabbit
Recommended dilutions WB: 1/500 - 1/2000, IHC: 1/50 - 1/200. Optimal dilutions/concentrations should be determined by the end user.
Conjugation Unconjugated
Immunogen ribonucleotide reductase M1
Isotype IgG
Form Liquid
Purity ≥ 95% (SDS-PAGE)
Purification Purified by immunogen affinity chromatography.
Storage Aliquot and store at -20°C. Avoid repeated freeze/thaw cycles.
Validity 12 months.
UniProt Primary AC P23921 (UniProt, ExPASy)
UniProt Secondary AC Q9UNN2
UniProt Entry Name RIR1_HUMAN
KEGG hsa:6240
String 9606.ENSP00000300738
Molecular Weight Observed MW: 100 kDa
Buffer PBS, pH 7.3, with 0.02% sodium azide and 50% glycerol.
Concentration 2 mg/ml
Availability Shipped within 5-12 working days.
Note THIS PRODUCT IS FOR RESEARCH USE ONLY. NOT FOR USE IN DIAGNOSTIC, THERAPEUTIC OR COSMETIC PROCEDURES. NOT FOR HUMAN OR ANIMAL CONSUMPTION.
Research Articles on Ribonucleoside-Diphosphate Reductase Large Subunit (RRM1)


Write a review