Organic Solute Transporter Subunit Alpha (SLC51A) Antibody

REQUEST MORE INFO
Catalogue No: abx302154
Price: US$188.50
(Size: 20 µg)

Orders to United States ship from United States

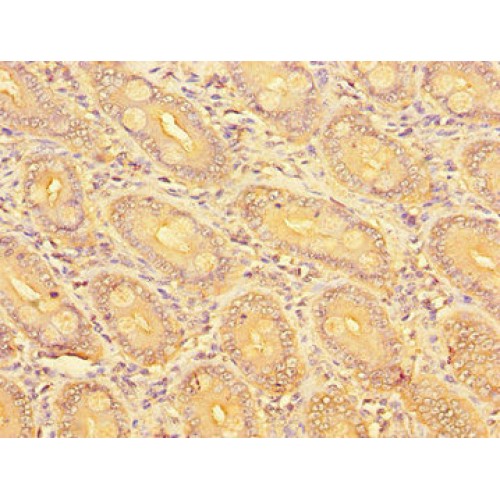
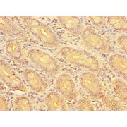
Organic Solute Transporter Subunit Alpha (SLC51A) Antibody Organic Solute Transporter Subunit Alpha (SLC51A) Antibody

Click on the image to see the image legend

Available Options

* Size:





Add to Shopping Cart Buy It Now GET A QUOTE

Documents

Datasheet SDS
SLC51A Antibody is a Rabbit Polyclonal against SLC51A.

Target Organic Solute Transporter Subunit Alpha (SLC51A)
Clonality Polyclonal
Reactivity Human
Tested Applications ELISA, IHC, IF/ICC
Host Rabbit
Recommended dilutions IHC: 1/20 - 1/200, IF/ICC: 1/50 - 1/200. Optimal dilutions/concentrations should be determined by the end user.
Conjugation Unconjugated
Immunogen Recombinant human Organic solute transporter subunit alpha protein (1-48 AA).
Isotype IgG
Form Liquid
Purity > 95%
Purification Purified by Protein G.
Storage Aliquot and store at -20°C. Avoid repeated freeze/thaw cycles.
UniProt Primary AC Q86UW1 (UniProt, ExPASy)
UniProt Secondary AC Q6ZMC7
UniProt Entry Name OSTA_HUMAN
Gene Symbol SLC51A
GeneID 200931
OMIM 612084
KEGG hsa:200931
String 9606.ENSP00000296327
Buffer 0.01 M PBS, pH 7.4, 0.03% Proclin-300 and 50% Glycerol.
Concentration 3 mg/ml
Availability Shipped within 5-10 working days.
Note THIS PRODUCT IS FOR RESEARCH USE ONLY. NOT FOR USE IN DIAGNOSTIC, THERAPEUTIC OR COSMETIC PROCEDURES. NOT FOR HUMAN OR ANIMAL CONSUMPTION.
Research Articles on Organic Solute Transporter Subunit Alpha (SLC51A)


Write a review