C-C Motif Chemokine 17 (CCL17) Antibody

REQUEST MORE INFO
Catalogue No: abx103955
Price: US$304.50
(Size: 100 µl)

Orders to United States ship from United States

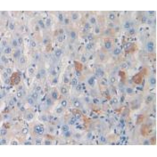
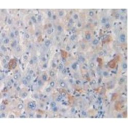
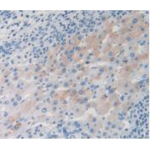
C-C Motif Chemokine 17 (CCL17) Antibody C-C Motif Chemokine 17 (CCL17) Antibody C-C Motif Chemokine 17 (CCL17) Antibody

Click on the image to see the image legend

Available Options

* Size:



Add to Shopping Cart Buy It Now GET A QUOTE

Documents

Datasheet SDS
Polyclonal Antibody to C-C Motif Chemokine 17 (CCL17).

Target C-C Motif Chemokine 17 (CCL17)
Clonality Polyclonal
Reactivity Mouse
Tested Applications WB, IHC, IF/ICC
Host Rabbit
Recommended dilutions WB: 0.01-2 µg/ml, IHC: 5-20 µg/ml, IF/ICC: 5-20 µg/ml. Optimal dilutions/concentrations should be determined by the end user.
Conjugation Unconjugated
Immunogen TARC (Leu12-Lys83)
Form Liquid
Purification Purified by antigen-specific affinity chromatography, followed by Protein A affinity chromatography.
Storage Aliquot and store at -20°C. Avoid repeated freeze/thaw cycles.
UniProt Primary AC Q9WUZ6 (UniProt, ExPASy)
UniProt Secondary AC Q9R043
UniProt Entry Name CCL17_MOUSE
Gene Symbol CCL17
GeneID 20295
KEGG mmu:20295
String 10090.ENSMUSP00000034232
Buffer 0.01 M PBS, pH 7.4, containing 0.05% Proclin-300, 50% glycerol.
Availability Shipped within 5-7 working days.
Note THIS PRODUCT IS FOR RESEARCH USE ONLY. NOT FOR USE IN DIAGNOSTIC, THERAPEUTIC OR COSMETIC PROCEDURES. NOT FOR HUMAN OR ANIMAL CONSUMPTION.
Research Articles on C-C Motif Chemokine 17 (CCL17)


Write a review

Tags:
(Click to show)